1. Institut de Chirurgie Orthopédique et Sportive
  2. Chirurgie du pied ou de la cheville
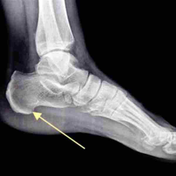
  3. Exploration de l'épine calcanéenne à l'ICOS Marseille

Exploration de l'épine calcanéenne à l'ICOS Marseille

L'épine calcanéenne, peut être la source d'une douleur intense, impactant significativement la mobilité des individus affectés. C’est en fait l’aponévrose plantaire qui s’insère sur cette épine qui est inflammée et non l’épine qui fait mal, d’où le terme d’aponévrosite.

À l'ICOS Marseille, nous proposons diverses approches pour traiter cette pathologie, le plus souvent des méthodes non chirurgicales, qui offre un soulagement de la douleur tant immédiat que durable.

Premiers signaux d'alerte

Les premiers symptômes de l'épine calcanéenne se manifestent par une douleur aiguë au talon, souvent ressentie comme marcher sur un clou. Cette douleur, généralement unilatérale, est particulièrement présente chez les pratiquants de sports impliquant des répétitions ou des appuis intensifs, tels que la course à pied, le volley-ball, le handball ou le basketball.

Stratégies de prise en charge

Face à ces douleurs, plusieurs stratégies peuvent être adoptées pour soulager le patient :

  • Évaluer et ajuster le niveau d'activité physique en fonction de la douleur ressentie, sans pour autant cesser toute activité.
  • Utiliser des semelles orthopédiques adaptées pour corriger les causes sous-jacentes de l'inflammation.
  • Rééducation : des étirements de l’aponévrose plantaire et du tendon d’achille sont indispensables pour assouplir le système global ainsi que des massages transverses profonds des tissus inflammés

Symptômes courants

Le principal symptôme est une douleur vive au talon, exacerbée après des périodes de repos ou le matin. Cette douleur peut limiter considérablement la mobilité et rendre difficile le port de charges ou la marche.

Diagnostic et causes

Le diagnostic de l'épine calcanéenne nécessite une consultation médicale approfondie, incluant potentiellement des radiographies et une échographie en première intention. Les causes incluent des traumatismes répétés au talon, l'obésité, des déformations du pied, une prédisposition génétique, ou encore des pathologies telles que la fasciite plantaire.

Approches thérapeutiques

Outre le repos et l'adaptation des chaussures pour offrir un meilleur amorti, plusieurs options non chirurgicales existent pour soulager la douleur :

  • Application de froid pour réduire l'inflammation.
  • Massages et utilisation de dispositifs de massage.
  • Thérapies par ondes de choc.
  • Exercices d'étirement et de renforcement de la voûte plantaire.
  • Traitements médicamenteux pour contrôler la douleur et l'inflammation.
  • Électrothérapie pour un soulagement ciblé de la douleur.

Si ces méthodes ne suffisent pas à apporter un soulagement durable, le traitement infiltratif permet dans la majorité des cas de soulager les symptômes. Différents types d’infiltration peuvent être proposés comme les corticoïdes, le PRP ou encore le Botox. L’efficacité de ces traitements a permis de réduire le recours à la chirurgie avec une guérison de la majorité des patients..

À l'ICOS Marseille, notre équipe dédiée à la chirurgie du pied et de la cheville est à votre disposition pour vous conseiller sur la meilleure approche de traitement pour votre cas spécifique d'épine calcanéenne, en mettant l'accent sur une récupération optimale et la reprise de vos activités quotidiennes sans douleur.

Nous contacter
Les champs indiqués par un astérisque (*) sont obligatoires
Nos derniers articles
Epine calcanéenne
east

L'épine calcanéenne : perspectives et traitements à l'ICOS Marseille

L'épine calcanéenne est , bien que petite, peut causer une douleur significative, affectant sérieusement la mobilité des patients. À l'ICOS Marseille, nous explorons les différentes méthodes de traitement pour offrir un soulagement durable. Détection précoce et activités à risque Les premier...
Traitement des métatarsalgies
east

L'avant Pied - Traitement des métatarsalgies

Les métatarsalgies sont des troubles d’appui qui ont de multiples causes difficiles à déterminer. Il peut s’agir de problème d’appui osseux excessif, de coincement de nerf (Morton), de complications liées à l’évolution prolongée d’un hallux valgus mais il existe également des causes extrinsèques ...
ICOS
east

L'expertise des docteurs Christophe Cermolacce, Emmanuel Richelme, Jean-Marc Buord et Mathieu Cermolacce en chirurgie du pied

Lorsque des problèmes de pied ou de cheville surviennent, il est essentiel de consulter des experts en chirurgie orthopédique. L'Institut de Chirurgie Orthopédique et Sportive de Marseille (ICOS) est un centre de référence dans ce domaine, fondé par le Dr. Christophe Cermolacce, un pionnier en la ...
Membres de la SOFCOT
Membres de la SOFCOT
Membres de la SFA
Membres de la SFA
Membres de la AFCP
Membres de la AFCP
Membres de la SFCM
Membres de la SFCM
Chirurgien du genou Marseille pour lca
prendre rdv sur Doctolib